Deprecated: implode(): Passing glue string after array is deprecated. Swap the parameters in /home/nd07e65/socialdogcat.com/plugins/content/adsinside/adsinside.php on line 180
Deprecated: implode(): Passing glue string after array is deprecated. Swap the parameters in /home/nd07e65/socialdogcat.com/plugins/content/adsinside/adsinside.php on line 205

Le fratture del cane e del gatto: come dobbiamo comportarci
La maggior parte delle malattie, o comunque delle problematiche, che riguardano i cani e i gatti, possono essere evitate tramite un sistema di prevenzione. Possiamo evitare che il nostro cane lecchi per terra, che i gatti litighino, che gli insetti pungano, possiamo fornire un’alimentazione adeguata.
Eppure ci sono delle situazioni in cui possiamo fare ben poco, con tutto l’amore che possiamo avere verso i nostri animali. Le fratture sono tra queste, e possono verificarsi per motivi futili, come un animale che mette male una zampa, che cade male dopo un salto o che, inavvertitamente, rimane colluso con l’auto mentre facciamo marcia indietro nel vialetto di casa.
Sono cose che possono succedere e contro cui possiamo fare poco, ma è importante sapere come comportarci in certe situazioni.
Cosa sono le fratture
Definire una frattura non è difficile: è la rottura di un osso. Tutte le ossa possono fratturarsi, ma quelle che lo fanno più frequentemente sono quelle degli arti, le ossa lunghe, quindi quelle che compongono le zampe (omero, radio, ulna, femore e tibia).
Possiamo avere due tipi di frattura: la frattura composta, in cui l’osso è spezzato solo da una parte e non dall’altra (avete presente quando piegate una banana e questa si rompe da una parte, mentre dall’altra i due monconi rimangono attaccati? Ecco, quella è una frattura composta) e la frattura scomposta, dove i due monconi ossei sono completamente staccati uno dall’altro. Tra le seconde, le fratture possono essere non esposte quando le ossa sono comunque all’interno dell’arto, oppure esposte quando vediamo l’osso da fuori, ad occhio nudo, che sono le peggiori.
Ovviamente se un cane o un gatto si frattura una zampa bisogna portarlo dal veterinario quanto prima, perché la frattura può peggiorare (da composta a scomposta, da non esposta a esposta, da esposta a infetta) ma ci sono degli accorgimenti che dobbiamo prendere prima di partire, specialmente se non abbiamo un ambulatorio o una clinica vicino a casa.
Come comportarci con un animale fratturato
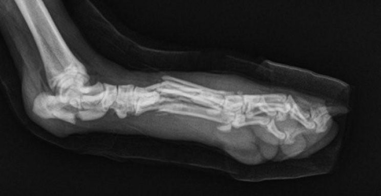
Fondamentalmente, il nostro compito di proprietari è quello di impedire che la situazione peggiori. Solo una radiografia, una lastra, fatta dai veterinari potrà far capire quale sia effettivamente il problema e se ci sia bisogno di un intervento chirurgico per risolvere la situazione.
Nel caso di fratture più particolari, delle ossa del cranio o delle costole, possiamo fare ben poco, perché in questo caso ci sarà comunque bisogno di un intervento.
Nel caso degli arti, invece, notiamo che l’animale ha un problema ad una zampa perché, fondamentalmente, zoppica. Proviamo a toccare l’arto incriminato: se l’animale non ha dolore, generalmente si può escludere una frattura (può essere uno stiramento muscolare); se ringhia o soffia e non vuole che si tocchi quel punto, le cose iniziano a farsi più serie.
Nel caso di fratture scomposte, le conseguenze si vedono chiaramente: la parte dell’arto più vicina a terra dondola e si muove per conto proprio rispetto al resto della zampa, segno che l’osso è completamente spezzato.
Noi dobbiamo tenerlo più fermo possibile in attesa di raggiungere il veterinario.
Prendiamo quindi una scatola di cartone, che tutti abbiamo in casa, e tagliamone un lato così da avere un pannello di cartone lungo, all’incirca, quanto la zampa del cane o del gatto.
Prendiamo quindi l’animale e poggiamo la zampa controlaterale (se è rotta una zampa anteriore poggiamo l’altra zampa anteriore, quella sana) sul cartone e, con una penna o una matita, ricalchiamone il contorno disegnandolo. Tagliamo quindi con le forbici la forma che abbiamo disegnato.
Avremo così una zampa di cartone delle dimensioni della zampa del nostro animale.
Appoggiamola quindi alla zampa fratturata, poi leghiamola con della garza, molto stretta, che arrotolata fermi la zampa al cartone. Abbiamo così realizzato una “steccatura” domestica.
Una volta assicurati che, grazie al nostro intervento, la zampa fratturata non possa muoversi, possiamo andare dal veterinario che eseguirà una radiografia e porrà la zampa nella condizione più consona.
La guarigione delle fratture
In base alla situazione della frattura originale, può bastare una rigida steccatura, o il gesso, perché possa guarire (nel caso delle fratture composte) o sarà necessario un intervento chirurgico in cui viene impiantato un supporto metallico per rimettere insieme i due monconi e far sì che non possono muoversi (nel caso di fratture scomposte).
L’osso è un tessuto che tende a guarire e, soprattutto, guarisce completamente a differenza di altri come la pelle (dove, invece, rimane la cicatrice, segno di guarigione che non si completerà mai).
Chiaramente ci vuole del tempo, che varia in base alla gravità della frattura stessa e all’età dell’animale (un anziano impiegherà più tempo di un giovane).
Ci sono due regole fondamentali per spingere la guarigione il più possibile: la prima è agire tempestivamente, come abbiamo detto prima, quando la frattura si verifica; se non lo facciamo i due monconi potrebbero iniziare a riattaccarsi spontaneamente in una posizione innaturale e questo potrebbe significare impossibilità per l’animale di tornare a camminare correttamente.
La seconda è, dopo l’intervento veterinario, di tenere in funzione la zampa. Se il cane o il gatto cerca di fare qualche passo, non lo fermiamo perché si fa male, ma lasciamolo fare. Certo, sentirà dolore, ma la pressione del corpo sul pavimento stimola la guarigione delle ossa, che sarà così più rapida e avverrà correttamente.
Con questi semplici consigli il nostro animale potrà tornare a camminare correttamente, come tutti gli altri, e come se non avesse mai avuto questo problema.
La maggior parte delle malattie, o comunque delle problematiche, che riguardano i cani e i gatti, possono essere evitate tramite un sistema di prevenzione. Possiamo evitare che il nostro cane lecchi per terra, che i gatti litighino, che gli insetti pungano, possiamo fornire un’alimentazione adeguata.
Eppure ci sono delle situazioni in cui possiamo fare ben poco, con tutto l’amore che possiamo avere verso i nostri animali. Le fratture sono tra queste, e possono verificarsi per motivi futili, come un animale che mette male una zampa, che cade male dopo un salto o che, inavvertitamente, rimane colluso con l’auto mentre facciamo marcia indietro nel vialetto di casa.
Sono cose che possono succedere e contro cui possiamo fare poco, ma è importante sapere come comportarci in certe situazioni.
Cosa sono le fratture
Definire una frattura non è difficile: è la rottura di un osso. Tutte le ossa possono fratturarsi, ma quelle che lo fanno più frequentemente sono quelle degli arti, le ossa lunghe, quindi quelle che compongono le zampe (omero, radio, ulna, femore e tibia).
Possiamo avere due tipi di frattura: la frattura composta, in cui l’osso è spezzato solo da una parte e non dall’altra (avete presente quando piegate una banana e questa si rompe da una parte, mentre dall’altra i due monconi rimangono attaccati? Ecco, quella è una frattura composta) e la frattura scomposta, dove i due monconi ossei sono completamente staccati uno dall’altro. Tra le seconde, le fratture possono essere non esposte quando le ossa sono comunque all’interno dell’arto, oppure esposte quando vediamo l’osso da fuori, ad occhio nudo, che sono le peggiori.
Ovviamente se un cane o un gatto si frattura una zampa bisogna portarlo dal veterinario quanto prima, perché la frattura può peggiorare (da composta a scomposta, da non esposta a esposta, da esposta a infetta) ma ci sono degli accorgimenti che dobbiamo prendere prima di partire, specialmente se non abbiamo un ambulatorio o una clinica vicino a casa.
Come comportarci con un animale fratturato
Fondamentalmente, il nostro compito di proprietari è quello di impedire che la situazione peggiori. Solo una radiografia, una lastra, fatta dai veterinari potrà far capire quale sia effettivamente il problema e se ci sia bisogno di un intervento chirurgico per risolvere la situazione.
Nel caso di fratture più particolari, delle ossa del cranio o delle costole, possiamo fare ben poco, perché in questo caso ci sarà comunque bisogno di un intervento.
Nel caso degli arti, invece, notiamo che l’animale ha un problema ad una zampa perché, fondamentalmente, zoppica. Proviamo a toccare l’arto incriminato: se l’animale non ha dolore, generalmente si può escludere una frattura (può essere uno stiramento muscolare); se ringhia o soffia e non vuole che si tocchi quel punto, le cose iniziano a farsi più serie.
Nel caso di fratture scomposte, le conseguenze si vedono chiaramente: la parte dell’arto più vicina a terra dondola e si muove per conto proprio rispetto al resto della zampa, segno che l’osso è completamente spezzato.
Noi dobbiamo tenerlo più fermo possibile in attesa di raggiungere il veterinario.
Prendiamo quindi una scatola di cartone, che tutti abbiamo in casa, e tagliamone un lato così da avere un pannello di cartone lungo, all’incirca, quanto la zampa del cane o del gatto.
Prendiamo quindi l’animale e poggiamo la zampa controlaterale (se è rotta una zampa anteriore poggiamo l’altra zampa anteriore, quella sana) sul cartone e, con una penna o una matita, ricalchiamone il contorno disegnandolo. Tagliamo quindi con le forbici la forma che abbiamo disegnato.
Avremo così una zampa di cartone delle dimensioni della zampa del nostro animale.
Appoggiamola quindi alla zampa fratturata, poi leghiamola con della garza, molto stretta, che arrotolata fermi la zampa al cartone. Abbiamo così realizzato una “steccatura” domestica.
Una volta assicurati che, grazie al nostro intervento, la zampa fratturata non possa muoversi, possiamo andare dal veterinario che eseguirà una radiografia e porrà la zampa nella condizione più consona.
La guarigione delle fratture
In base alla situazione della frattura originale, può bastare una rigida steccatura, o il gesso, perché possa guarire (nel caso delle fratture composte) o sarà necessario un intervento chirurgico in cui viene impiantato un supporto metallico per rimettere insieme i due monconi e far sì che non possono muoversi (nel caso di fratture scomposte).
L’osso è un tessuto che tende a guarire e, soprattutto, guarisce completamente a differenza di altri come la pelle (dove, invece, rimane la cicatrice, segno di guarigione che non si completerà mai).
Chiaramente ci vuole del tempo, che varia in base alla gravità della frattura stessa e all’età dell’animale (un anziano impiegherà più tempo di un giovane).
Ci sono due regole fondamentali per spingere la guarigione il più possibile: la prima è agire tempestivamente, come abbiamo detto prima, quando la frattura si verifica; se non lo facciamo i due monconi potrebbero iniziare a riattaccarsi spontaneamente in una posizione innaturale e questo potrebbe significare impossibilità per l’animale di tornare a camminare correttamente.
La seconda è, dopo l’intervento veterinario, di tenere in funzione la zampa. Se il cane o il gatto cerca di fare qualche passo, non lo fermiamo perché si fa male, ma lasciamolo fare. Certo, sentirà dolore, ma la pressione del corpo sul pavimento stimola la guarigione delle ossa, che sarà così più rapida e avverrà correttamente.
Con questi semplici consigli il nostro animale potrà tornare a camminare correttamente, come tutti gli altri, e come se non avesse mai avuto questo problema.
La maggior parte delle malattie, o comunque delle problematiche, che riguardano i cani e i gatti, possono essere evitate tramite un sistema di prevenzione. Possiamo evitare che il nostro cane lecchi per terra, che i gatti litighino, che gli insetti pungano, possiamo fornire un’alimentazione adeguata.
Eppure ci sono delle situazioni in cui possiamo fare ben poco, con tutto l’amore che possiamo avere verso i nostri animali. Le fratture sono tra queste, e possono verificarsi per motivi futili, come un animale che mette male una zampa, che cade male dopo un salto o che, inavvertitamente, rimane colluso con l’auto mentre facciamo marcia indietro nel vialetto di casa.
Sono cose che possono succedere e contro cui possiamo fare poco, ma è importante sapere come comportarci in certe situazioni.
Cosa sono le fratture
Definire una frattura non è difficile: è la rottura di un osso. Tutte le ossa possono fratturarsi, ma quelle che lo fanno più frequentemente sono quelle degli arti, le ossa lunghe, quindi quelle che compongono le zampe (omero, radio, ulna, femore e tibia).
Possiamo avere due tipi di frattura: la frattura composta, in cui l’osso è spezzato solo da una parte e non dall’altra (avete presente quando piegate una banana e questa si rompe da una parte, mentre dall’altra i due monconi rimangono attaccati? Ecco, quella è una frattura composta) e la frattura scomposta, dove i due monconi ossei sono completamente staccati uno dall’altro. Tra le seconde, le fratture possono essere non esposte quando le ossa sono comunque all’interno dell’arto, oppure esposte quando vediamo l’osso da fuori, ad occhio nudo, che sono le peggiori.
Ovviamente se un cane o un gatto si frattura una zampa bisogna portarlo dal veterinario quanto prima, perché la frattura può peggiorare (da composta a scomposta, da non esposta a esposta, da esposta a infetta) ma ci sono degli accorgimenti che dobbiamo prendere prima di partire, specialmente se non abbiamo un ambulatorio o una clinica vicino a casa.
Come comportarci con un animale fratturato
Fondamentalmente, il nostro compito di proprietari è quello di impedire che la situazione peggiori. Solo una radiografia, una lastra, fatta dai veterinari potrà far capire quale sia effettivamente il problema e se ci sia bisogno di un intervento chirurgico per risolvere la situazione.
Nel caso di fratture più particolari, delle ossa del cranio o delle costole, possiamo fare ben poco, perché in questo caso ci sarà comunque bisogno di un intervento.
Nel caso degli arti, invece, notiamo che l’animale ha un problema ad una zampa perché, fondamentalmente, zoppica. Proviamo a toccare l’arto incriminato: se l’animale non ha dolore, generalmente si può escludere una frattura (può essere uno stiramento muscolare); se ringhia o soffia e non vuole che si tocchi quel punto, le cose iniziano a farsi più serie.
Nel caso di fratture scomposte, le conseguenze si vedono chiaramente: la parte dell’arto più vicina a terra dondola e si muove per conto proprio rispetto al resto della zampa, segno che l’osso è completamente spezzato.
Noi dobbiamo tenerlo più fermo possibile in attesa di raggiungere il veterinario.
Prendiamo quindi una scatola di cartone, che tutti abbiamo in casa, e tagliamone un lato così da avere un pannello di cartone lungo, all’incirca, quanto la zampa del cane o del gatto.
Prendiamo quindi l’animale e poggiamo la zampa controlaterale (se è rotta una zampa anteriore poggiamo l’altra zampa anteriore, quella sana) sul cartone e, con una penna o una matita, ricalchiamone il contorno disegnandolo. Tagliamo quindi con le forbici la forma che abbiamo disegnato.
Avremo così una zampa di cartone delle dimensioni della zampa del nostro animale.
Appoggiamola quindi alla zampa fratturata, poi leghiamola con della garza, molto stretta, che arrotolata fermi la zampa al cartone. Abbiamo così realizzato una “steccatura” domestica.
Una volta assicurati che, grazie al nostro intervento, la zampa fratturata non possa muoversi, possiamo andare dal veterinario che eseguirà una radiografia e porrà la zampa nella condizione più consona.
La guarigione delle fratture
In base alla situazione della frattura originale, può bastare una rigida steccatura, o il gesso, perché possa guarire (nel caso delle fratture composte) o sarà necessario un intervento chirurgico in cui viene impiantato un supporto metallico per rimettere insieme i due monconi e far sì che non possono muoversi (nel caso di fratture scomposte).
L’osso è un tessuto che tende a guarire e, soprattutto, guarisce completamente a differenza di altri come la pelle (dove, invece, rimane la cicatrice, segno di guarigione che non si completerà mai).
Chiaramente ci vuole del tempo, che varia in base alla gravità della frattura stessa e all’età dell’animale (un anziano impiegherà più tempo di un giovane).
Ci sono due regole fondamentali per spingere la guarigione il più possibile: la prima è agire tempestivamente, come abbiamo detto prima, quando la frattura si verifica; se non lo facciamo i due monconi potrebbero iniziare a riattaccarsi spontaneamente in una posizione innaturale e questo potrebbe significare impossibilità per l’animale di tornare a camminare correttamente.
La seconda è, dopo l’intervento veterinario, di tenere in funzione la zampa. Se il cane o il gatto cerca di fare qualche passo, non lo fermiamo perché si fa male, ma lasciamolo fare. Certo, sentirà dolore, ma la pressione del corpo sul pavimento stimola la guarigione delle ossa, che sarà così più rapida e avverrà correttamente.
Con questi semplici consigli il nostro animale potrà tornare a camminare correttamente, come tutti gli altri, e come se non avesse mai avuto questo problema.
La maggior parte delle malattie, o comunque delle problematiche, che riguardano i cani e i gatti, possono essere evitate tramite un sistema di prevenzione. Possiamo evitare che il nostro cane lecchi per terra, che i gatti litighino, che gli insetti pungano, possiamo fornire un’alimentazione adeguata.
Eppure ci sono delle situazioni in cui possiamo fare ben poco, con tutto l’amore che possiamo avere verso i nostri animali. Le fratture sono tra queste, e possono verificarsi per motivi futili, come un animale che mette male una zampa, che cade male dopo un salto o che, inavvertitamente, rimane colluso con l’auto mentre facciamo marcia indietro nel vialetto di casa.
Sono cose che possono succedere e contro cui possiamo fare poco, ma è importante sapere come comportarci in certe situazioni.
Cosa sono le fratture
Definire una frattura non è difficile: è la rottura di un osso. Tutte le ossa possono fratturarsi, ma quelle che lo fanno più frequentemente sono quelle degli arti, le ossa lunghe, quindi quelle che compongono le zampe (omero, radio, ulna, femore e tibia).
Possiamo avere due tipi di frattura: la frattura composta, in cui l’osso è spezzato solo da una parte e non dall’altra (avete presente quando piegate una banana e questa si rompe da una parte, mentre dall’altra i due monconi rimangono attaccati? Ecco, quella è una frattura composta) e la frattura scomposta, dove i due monconi ossei sono completamente staccati uno dall’altro. Tra le seconde, le fratture possono essere non esposte quando le ossa sono comunque all’interno dell’arto, oppure esposte quando vediamo l’osso da fuori, ad occhio nudo, che sono le peggiori.
Ovviamente se un cane o un gatto si frattura una zampa bisogna portarlo dal veterinario quanto prima, perché la frattura può peggiorare (da composta a scomposta, da non esposta a esposta, da esposta a infetta) ma ci sono degli accorgimenti che dobbiamo prendere prima di partire, specialmente se non abbiamo un ambulatorio o una clinica vicino a casa.
Come comportarci con un animale fratturato
Fondamentalmente, il nostro compito di proprietari è quello di impedire che la situazione peggiori. Solo una radiografia, una lastra, fatta dai veterinari potrà far capire quale sia effettivamente il problema e se ci sia bisogno di un intervento chirurgico per risolvere la situazione.
Nel caso di fratture più particolari, delle ossa del cranio o delle costole, possiamo fare ben poco, perché in questo caso ci sarà comunque bisogno di un intervento.
Nel caso degli arti, invece, notiamo che l’animale ha un problema ad una zampa perché, fondamentalmente, zoppica. Proviamo a toccare l’arto incriminato: se l’animale non ha dolore, generalmente si può escludere una frattura (può essere uno stiramento muscolare); se ringhia o soffia e non vuole che si tocchi quel punto, le cose iniziano a farsi più serie.
Nel caso di fratture scomposte, le conseguenze si vedono chiaramente: la parte dell’arto più vicina a terra dondola e si muove per conto proprio rispetto al resto della zampa, segno che l’osso è completamente spezzato.
Noi dobbiamo tenerlo più fermo possibile in attesa di raggiungere il veterinario.
Prendiamo quindi una scatola di cartone, che tutti abbiamo in casa, e tagliamone un lato così da avere un pannello di cartone lungo, all’incirca, quanto la zampa del cane o del gatto.
Prendiamo quindi l’animale e poggiamo la zampa controlaterale (se è rotta una zampa anteriore poggiamo l’altra zampa anteriore, quella sana) sul cartone e, con una penna o una matita, ricalchiamone il contorno disegnandolo. Tagliamo quindi con le forbici la forma che abbiamo disegnato.
Avremo così una zampa di cartone delle dimensioni della zampa del nostro animale.
Appoggiamola quindi alla zampa fratturata, poi leghiamola con della garza, molto stretta, che arrotolata fermi la zampa al cartone. Abbiamo così realizzato una “steccatura” domestica.
Una volta assicurati che, grazie al nostro intervento, la zampa fratturata non possa muoversi, possiamo andare dal veterinario che eseguirà una radiografia e porrà la zampa nella condizione più consona.
La guarigione delle fratture
In base alla situazione della frattura originale, può bastare una rigida steccatura, o il gesso, perché possa guarire (nel caso delle fratture composte) o sarà necessario un intervento chirurgico in cui viene impiantato un supporto metallico per rimettere insieme i due monconi e far sì che non possono muoversi (nel caso di fratture scomposte).
L’osso è un tessuto che tende a guarire e, soprattutto, guarisce completamente a differenza di altri come la pelle (dove, invece, rimane la cicatrice, segno di guarigione che non si completerà mai).
Chiaramente ci vuole del tempo, che varia in base alla gravità della frattura stessa e all’età dell’animale (un anziano impiegherà più tempo di un giovane).
Ci sono due regole fondamentali per spingere la guarigione il più possibile: la prima è agire tempestivamente, come abbiamo detto prima, quando la frattura si verifica; se non lo facciamo i due monconi potrebbero iniziare a riattaccarsi spontaneamente in una posizione innaturale e questo potrebbe significare impossibilità per l’animale di tornare a camminare correttamente.
La seconda è, dopo l’intervento veterinario, di tenere in funzione la zampa. Se il cane o il gatto cerca di fare qualche passo, non lo fermiamo perché si fa male, ma lasciamolo fare. Certo, sentirà dolore, ma la pressione del corpo sul pavimento stimola la guarigione delle ossa, che sarà così più rapida e avverrà correttamente.
Con questi semplici consigli il nostro animale potrà tornare a camminare correttamente, come tutti gli altri, e come se non avesse mai avuto questo problema.